字體大小:

淺談兒童口腔問題 掌握黃金期早期介入兒童牙齒矯正治療

淺談兒童口腔問題 掌握黃金期早期介入兒童牙齒矯正治療_圖1作者/蔡禎櫻醫師

圖片提供:蔡禎櫻醫師

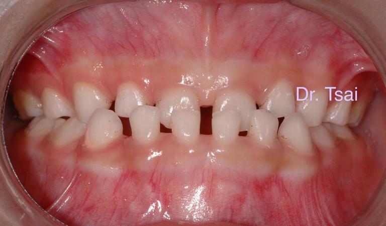
小樂擁有一口整齊的乳牙,卻在開始替換第一顆恆牙時,出現牙齒不整齊的情況,隨著牙齒替換的顆數越來越多,牙齒排列不整齊的狀況也越來越明顯。

▲開始替換第一顆乳牙時,臨床上常會發現長出的恆牙歪斜不整齊

很多孩子跟小樂都有相似的狀況,一般來說,家長會認為等待兒童乳牙全部換完,再進行全口矯正的觀念,但這並不是適用於所有類型的咬合不正;有些情況的牙齒不整齊,等待的時間可能會讓咬合不正更嚴重。

美國齒顎矯正醫學會建議:孩子最晚在七歲時應該要進行齒列不正的檢查及治療的評估,這時候開始進行的牙齒矯正治療,有機會引導上下顎骨良好生長,改善外觀,引導恆牙長在更適當的位置,並且藉由改善暴牙,減少門牙撞傷的機會。

例如以下的案例類型,是可以提早治療的:

案例一

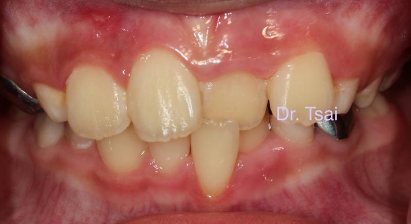
不對稱的咬合,常見於單顆門牙、犬齒或單側牙齒的錯咬;兒童口中出現的牙齒錯咬,會使孩子在吃東西,咀嚼時受限於錯咬牙的影響,使用錯咬的那一側牙齒來咀嚼,長久下來,容易造成兩邊臉頰的大小臉,下巴明顯歪向一側的現象出現,像這種不對稱的咬合應該越早處理越好。

淺談兒童口腔問題 掌握黃金期早期介入兒童牙齒矯正治療_圖2

▲單顆門牙的錯咬,會讓孩子吃東西時受限於錯咬牙

淺談兒童口腔問題 掌握黃金期早期介入兒童牙齒矯正治療_圖3

▲單側牙齒的錯咬,會讓孩子咀嚼時習慣用錯咬側的牙齒,長久下來,下巴可能會明顯歪向一邊

案例二

前牙的反咬,較為嚴重的前牙反咬就是家長較為熟悉的戽斗,也會讓孩子在咀嚼時受限於反咬的牙齒關係,影響上顎牙弓的正常發育,像這樣的咬合關係應該在910歲前評估改正的可能性。

淺談兒童口腔問題 掌握黃金期早期介入兒童牙齒矯正治療_圖4

▲前牙的反咬,會限制上顎牙弓的發育,應該在9-10歲前評估改正的可能性

案例三

其他狀況如上下顎骨太過狹窄,以至於恆牙長出來太擁擠的齒列不正,在孩子骨骼未定型前適時給予牙弓擴張器,引導牙齒生長在適當位置,也是這個階段常常會治療的重點。淺談兒童口腔問題 掌握黃金期早期介入兒童牙齒矯正治療_圖5

▲活動式的擴張器,在牙齒尚未替換完就能配戴,引導恆牙長在適當的位置


淺談兒童口腔問題 掌握黃金期早期介入兒童牙齒矯正治療_圖6

▲隱形牙套有良好的牙弓擴張效果

國小,國中階段孩子的牙弓可塑性很大,移動牙齒的速度相對較快,醫師藉由兒童顏面生理發育不同階段,善用各種不同工具進行早期牙齒治療,日後即使需要全口矯正,矯正後的困難度也會相對減低。


淺談兒童口腔問題 掌握黃金期早期介入兒童牙齒矯正治療_圖7

立即訂閱我們的電子報

掌握最新健康消息!