0

      今日人氣

      468

      累積人氣

      13

      粉絲數

      118

      回答數

      23

      文章數

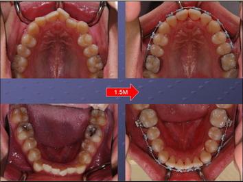
神奇矯正

     以下介紹的病人來的主述是"牙齒太亂"
      在經過一個半月的治療, 
      將矯正器黏好, 放上一條太空金屬(NiTi)
      就等著讓太空金屬去表現它的特性
      然後牙齒就會慢慢的變整齊了
     余宗坤醫師|齒顎矯正科|我的文章|個人主頁|KingNet國家網路醫藥
     真是很神奇 ! 余宗坤醫師|齒顎矯正科|我的文章|個人主頁|KingNet國家網路醫藥

我要留言

    立即訂閱我們的電子報

    掌握最新健康消息!