尿解不乾淨 的最新新聞

不憋尿才健康?專家提醒:有尿意就跑廁所也不好

我們都知道每天要喝足夠的水,但不能一口氣灌1000cc.的水下肚。我們也都知道不要憋尿,但卻不知道只要有尿意就跑廁所也是錯誤的方式!

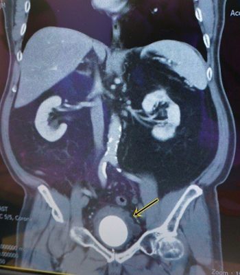
喝水不夠多 膀胱長出如奇異果的結石

70歲陳姓男患者,在40歲後就出現了尿液混濁情形,但不以為意,隨著年紀增長而越來越頻尿,10年前還曾自行解出小石子,最近因為一個晚上都要起床如廁五、六次,且解尿...

熟男的煩惱~良性攝護腺肥大

認識攝護腺攝護腺,又叫做前列腺,是男性生殖系統中特有的腺體,位在膀胱出口處,包圍著尿道,如果攝護腺組織增生而阻塞尿道,就會出現排尿不順的症狀。 為什麼會產生良性...

何謂小兒泌尿道感染

一、前言:泌尿道感染是指尿道、膀胱、輸尿管到腎臟之間,部份或全部受到細菌感染,是嬰幼兒不明原因發燒中常見的原因之一。其中,在新生兒的發生率以男嬰較多,但隨著年齡...

能擴大膀胱容量才能治好間質性膀胱炎

根據國際間質性膀胱炎基金會的統計,約有14%的間質性膀胱炎患者同時罹患膀胱過動症,若患者恰巧服用Vesicare這類治療膀胱過動症的藥物就會見效造成間質性膀胱炎...

停經後女性生殖泌尿道疾病

適當補充荷爾蒙 慎用鎮靜劑人類已因醫學的進步而比以前更容易能夠長命百歲,因此,女性停經時(平均約五十一歲)常只是站在生命的中點而已,然而,停經後正是身體老化與組...

尿解不乾淨時怎麼辦?

能夠順暢地解小便,實在是一種福氣,我們不是常說「平淡就是福嗎」?筆者在門診曾看過一個26歲的年青未婚女性,主訴多年來解小便老是解不乾淨,每次都只尿一點點,尿後仍...

泌尿生殖器脫垂真惱人

小便頻頻解不盡 白日急迫晚從容多年漏尿消失了 下體徒增下墜感〔一名五十九歲患者育有三子,久為頻尿所苦,尤其是白天,常不到一小時就要解小便一次,又覺得每次都解不乾...

女性生殖器脫垂症狀

目前對於女性生殖器脫垂程度的分級尚未有一致的看法,其中,比較常用的是在腹部出力時依其鬆弛掉落的情形來分級。女性的生殖器脫垂通常包含子宮脫垂與陰道脫垂,而陰道脫垂...

尿失禁 手術成功 仍有可能漏尿

尿失禁的病人在開刀前最感猶豫的常是「開刀會成功嗎?」其實,不僅患者困惑,相信絕對沒有一個醫師敢說手術一定會百分之百的成功,畢竟導致尿失禁的潛在或不可逆因素實在太...

立即訂閱我們的電子報

掌握最新健康消息!