字體大小:

自癒的奇蹟!52歲男性椎間盤突出經脊醫治療獲得驚人痊癒!

作者/張軒彬物理治療師
你是否曾經感受到腰部的劇痛,或是經歷過由於神經壓迫所帶來的不適?這些症狀很有可能與腰椎椎間盤突出有關! 腰椎椎間盤突出是一種常見的脊椎疾病,其中的椎間盤(位於脊椎骨之間的軟墊組織)因受壓而突出,壓迫周圍的神經根,引起疼痛和神經功能障礙。這種情況通常發生在腰椎區域,導致腰背痛、下肢疼痛、麻木和無力等不適。

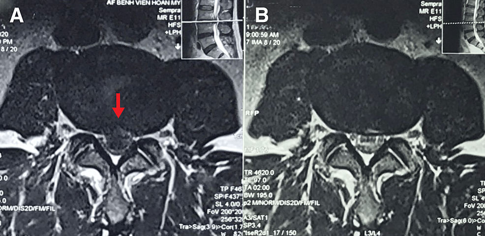
近期,香港與越南的脊醫聯合發表了一個驚人的病例報告(1)。報告中描述了一位52歲的亞洲男性,他因急性L3/L4椎間盤突出而經歷了嚴重的腰背痛和雙側神經根病變,導致嚴重的脊髓管狹窄和雙側L4神經根壓迫,造成嚴重的下背痛與雙腿神經痛。MRI影像顯示了巨大的中央型突出。這位患者選擇了為期十週的保守治療計劃,其中包括高速低振幅的脊椎手法矯正、輔助療法和家庭運動。

令人驚訝的是,即使患者初始狀況極差,在治療過程中,患者有了顯著的疼痛緩解、功能改善和近乎恢復的症狀。六個月後的隨訪MRI顯示L3/L4椎間盤突出消失,並且九個月後患者仍然無症狀。這個案例引起了對於腰椎椎間盤突出自癒潛力和保守治療的重要性的關注。

自癒的奇蹟!52歲男性椎間盤突出經脊醫治療獲得驚人痊癒!_圖2

自癒的奇蹟!52歲男性椎間盤突出經脊醫治療獲得驚人痊癒!_圖3

間盤突出的治療通常包括保守治療和手術治療兩種方式。保守治療主要針對疼痛管理、脊骨神經治療、物理治療和活動調整等,而手術治療則是考慮在保守治療無效的情況下進行。

然而,這個病例報告提醒我們,保守治療在某些情況下可能是一個有效且值得嘗試的選擇。特別是對於那些不適合手術的患者來說,保守治療可能帶來顯著的症狀改善和功能恢復。其他椎基盤突出的研究成果也印證了本案例-影像學檢查中突出椎間盤的大小,與患者選擇非手術治療的預後情沒有一定的關係(2)。在沒有嚴重的神經症狀如失禁、肌肉力量喪失與肌肉萎縮的情況下,都應以保守治療優先考量。

此外,椎間盤突出的自癒潛力也值得關注。目前炎症、巨噬細胞滲出、基質重塑和血管新生被認為是重要因素,但仍需要更多的研究來探索這一機制,並進一步評估脊骨神經科治療的有效性以及椎間盤自癒回退的作用。

腰椎椎間盤突出可能對患者的生活質量造成重大影響。因此,當您面臨腰椎椎間盤突出相關問題時,請不要輕忽疼痛或不適,並尋求專業醫生的幫助。他們將能夠根據您的個人情況制定最適合的治療計劃,並幫助您走出疼痛困境。

參考資料:

1. Eric Chun-Pu Chu • Edouard Sabourdy. Non-surgical Restoration of L3/L4 Disc Herniation. Cureus. 2023 June 25.

2. Anmol GuptaShivam Upadhyaya, et al. Does Size Matter? An Analysis of the Effect of Lumbar Disc Herniation Size on the Success of Nonoperative Treatment.Global Spine J. 2020 Oct; 10(7): 881–887.

推薦閱讀:

立即訂閱我們的電子報

掌握最新健康消息!