癌症預防 的最新新聞

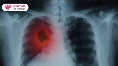
肺癌蟬聯十大癌症死因之首! 專家分析肺癌防治現況提出「三箭策略」

根據衛福部資料顯示,肺癌長年位居國人十大癌症死因之首,而且新發生人數也是十大癌症中最多的。由此可見,肺癌防治是目前非常重要的課題,若要達到「健康台灣」願景,這部...

現代年輕人更容易罹患肥胖相關癌症!醫曝原因

隨著現代生活方式的變遷,肥胖與癌症的關聯愈發明顯,特別是在年輕人群體中。根據最新研究,近一半的癌症病例與肥胖相關,且這一趨勢在逐年加劇。黃軒醫師深入探討了這一健...

世界癌症研究基金會提防癌7建議,降低罹癌風險

根據最新衛福部報告,台灣癌症新病例有所減少,但罹患風險仍然存在。然而,遵循世界癌症研究基金會/美國癌症研究所的健康生活建議,我們可以降低罹癌風險。這意味著我們每...

最新!10大癌症排行出爐,第1名不是大腸癌,胰臟癌首度擠進前10名

最新癌症報告揭示,國人癌症發生數量微降,其中肺癌居冠。研究指出,嚼檳榔、吸菸是口腔癌重要危險因子。五大篩檢計畫,如口腔黏膜、糞便潛血、子宮頸抹片、乳房攝影、肺部...

抗癌成功從生活開始!維持規律運動、理想體重與減少酒精讓你遠離癌症

人口老化加上飲食不均衡、生活型態不健康的緣故下,根據衛福部公佈的癌症報告中,癌症的發生率每年都在增加。防範癌症發生除了飲食外,還包括維持體重及規律運動等。

腫瘤就是癌症嗎?是什麼原因讓你比別人更容易成為癌症候選人?

腫瘤是一個統稱,是一群不受控制和過度生長的異常細胞,這些細胞形成了塊狀或實體團塊,而腫瘤又可分為良性或癌性(惡性),一般而言大多數的癌症都會形成腫瘤。

胸部大容易罹患乳癌?小胸機率低?醫師來解答

45歲的楊小姐,大約每2~3年會依照預算為身體各部位輪流安排局部的自費高階影像檢查。但因為自覺胸部不大,乳房發生病變機率應該很小。

婦女節關心女性健康! 防「乳癌再復發」靠治療新觀念

世界衛生組織在2020年底宣布女性乳癌首次超越肺癌,成為最常見癌症。於婦女節之際,專家提醒乳癌高風險女性注意乳房健康。

吃素竟也會得大腸癌??專家建議治療這樣做

吃素也會得大腸癌?65歲的秦先生,是一名素食主義者,經常食用火龍果與甜菜根。4個月前,發現自己開始解深紅色大便,以及有水便的情形,原以為只是食物染色而不以為意,...

愛吃牛肉、豬肉易罹大腸癌? 小心!超雷4習慣當心短命

年假期想到美食就令人垂涎三尺,宅在家裡看新春節目又享用美食,但若天天放縱大吃,罹患大腸癌的風險恐怕會大幅上升。

立即訂閱我們的電子報

掌握最新健康消息!