字體大小:

好討厭的癢癢小蟲∼談異位性皮膚炎的「診斷」條件!

文/長庚醫院皮膚科主治醫師 陳華欣醫師

在門診常有小朋友全身出現搔癢的紅疹,家長這時候會說:「我的小孩從出生就有異位性皮膚炎。」…真的是這樣嗎?其實,異位性皮膚炎是有一定的診斷條件的:

皮膚搔癢
典型的皮膚症狀(濕疹樣皮膚炎或苔癬化皮膚炎)
 及位置(嬰幼兒多在臉部或身體伸側,成人多在關節屈?)
慢性持續性及反覆發作性皮膚炎(六個月以上)
個人或家族成員有異位性體質
 (包括氣喘、過敏性鼻炎、或異位性皮膚炎等)

異位性皮膚炎並不是泛指一切發身在小朋友身上的癢疹!隨著患者的年紀不同,臨床表現也隨之不同。

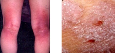
小嬰兒約兩個多月時會在頭皮上出現厚厚的皮屑,同時在臉頰上也可能出現皮膚炎變化。這時候的皮疹,和嬰兒常見的脂漏性皮膚炎較難分辨。過了一歲之後,皮膚炎的部位會逐漸出現在四肢和軀幹,而且皮膚看起來會乾乾粗粗的,尤在身體伸側或手肘、臀部、膝窩背面等地方長出皮膚炎。皮膚的病灶會變的比較乾燥,有灰褐色皮屑,皮膚變厚,紋路加深,呈苔癬化變化。一直到上小學之後,才會逐漸的改善。
好討厭的癢癢小蟲∼談異位性皮膚炎的「診斷」條件!_圖1
仍然有一部分的人,皮膚炎斷斷續續的出現,一直要到上國中之後,才會痊癒。如果過了青春期,異位性皮膚炎仍然還沒有痊癒,則此問題一直持續到成人的機會就很高了。以四肢屈曲部位最常見,皮膚表面呈慢性苔癬化現象。

然而並非每個病人都會經歷這三個時期的變化,60%在一歲前會發病,但也有少數病人是在青春期過後才開始。



陳華欣醫師小檔案
現任:台北,林口及基隆長庚皮膚科主治醫師
   長庚桃園分院皮膚科主治醫師
   長庚桃園分院美容中心主治醫師
   KingNet國家網路醫院皮膚科駐院醫師
學歷:台灣長庚大學醫學士
經歷:長庚桃園分院皮膚科主治醫師
   長庚桃園分院美容中心主治醫師
   林口長庚皮膚科住院醫師,總醫師
網址:陳華欣醫師的個人專區
本文作者【陳華欣醫師】
本文由【KingNet國家網路醫藥】提供
立即訂閱我們的電子報

掌握最新健康消息!